Científicos del Instituto de Investigación Médica del Ejército de Estados Unidos han descrito en un estudio publicado en la revista científica ‘Science Translational Medicine’ cómo el virus del ébola puede esconderse en el cerebro y persistir incluso años después del tratamiento con anticuerpos monoclonales.
Algunos brotes recientes de ébola en África se han relacionado con la persistencia de la infección en pacientes que habían sobrevivido a brotes anteriores. En concreto, el brote de 2021 en Guinea reapareció a partir de un superviviente persistentemente infectado del anterior brote importante de hace al menos cinco años.
Sin embargo, se desconocía con exactitud el ‘escondite’ exacto del virus del ébola persistente y la patología subyacente de la posterior recurrencia de la enfermedad en los supervivientes, especialmente los tratados con la terapia de anticuerpos monoclonales estándar.
Por ello, estos investigadores utilizaron un modelo de primate no humano, el que mejor recapitula la enfermedad del virus del ébola en humanos, para abordar estas cuestiones.
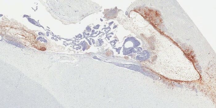
«El nuestro es el primer estudio que revela el escondite de la persistencia del virus del ébola en el cerebro y la patología que causa la posterior enfermedad mortal relacionada con el virus del ébola en el modelo de primate no humano. Descubrimos que alrededor del 20 por ciento de los monos que sobrevivieron al ébola tras el tratamiento con anticuerpos monoclonales seguían teniendo infección persistente, específicamente en el sistema ventricular del cerebro, en el que se produce, circula y contiene el líquido cefalorraquídeo, incluso cuando el virus del ébola se había eliminado de todos los demás órganos», explica el líder de la investigación, Kevin Zeng.
En particular, dos monos que inicialmente se recuperaron del ébola tras el tratamiento con anticuerpos monoclonales presentaron una recurrencia de los signos clínicos graves de la infección y sucumbieron a la enfermedad. La inflamación severa y la infección masiva por el virus del ébola estaban presentes en el sistema ventricular del cerebro; no se encontró ninguna patología evidente ni infección viral en otros órganos.
Según los autores, ya se han registrado casos de recurrencia en supervivientes humanos de ébola. Por ejemplo, una enfermera británica la experimentó en el cerebro, sufriendo una meningoencefalitis nueve meses después de recuperarse de una enfermedad grave por el virus. Ella había recibido anticuerpos durante el brote de 2013 a 2016 en África Occidental, el mayor brote de este tipo hasta la fecha.
Además, han documentado el caso de un paciente vacunado que había sido tratado seis meses antes recayó y murió al final del brote de 2018-2020 en la República Democrática del Congo (RDC). Por desgracia, ese caso también dio lugar a muchas transmisiones posteriores entre humanos.
Durante los últimos años, el equipo de Zeng ha realizado estudios sistemáticos sobre la persistencia del virus utilizando como modelo a primates no humanos supervivientes. Esa investigación demostró que el virus, a pesar de haber sido eliminado de todos los demás órganos, puede esconderse y persistir en regiones específicas de órganos inmunes privilegiados, como la cámara vítrea de los ojos, los túbulos seminíferos de los testículos y el sistema ventricular del cerebro, según se informa en este estudio.
«El virus del ébola persistente puede reactivarse y provocar una recaída de la enfermedad en los supervivientes, lo que podría causar un nuevo brote», ha resaltado otro de los responsables de la investigación, el doctor Jun Liu.
El virus del ébola es una de las enfermedades infecciosas más mortíferas conocidas por la humanidad. Sigue siendo una gran amenaza en África, y sólo en 2021 se produjeron tres brotes en este continente, según la Organización Mundial de la Salud (OMS). Ahora mismo hay aprobadas dos vacunas y dos terapias de anticuerpos monoclonales para prevenir y tratar la enfermedad.
«Afortunadamente, con estas vacunas y anticuerpos monoclonales aprobados, estamos en una posición mucho mejor para contener los brotes. Sin embargo, nuestro estudio refuerza la necesidad de realizar un seguimiento a largo plazo de los supervivientes del ébola, -incluso de los supervivientes tratados con anticuerpos terapéuticos, para prevenir el recrudecimiento. Esto servirá para reducir el riesgo de reaparición de la enfermedad, al tiempo que ayudará a evitar una mayor estigmatización de los pacientes», ha remachado Zeng.
