MADRID, 10 (EUROPA PRESS)
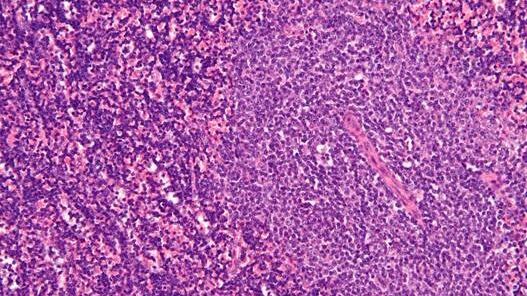
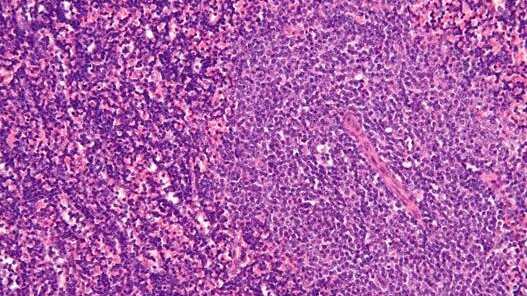
Investigadores del Consejo Superior de Investigaciones Científicas (CSIC), con el apoyo de la Asociación Española Contra el Cáncer, lideran un estudio que ha identificado un gen que, sin necesidad de mutaciones, causa leucemia linfocítica crónica, la más común en personas mayores de sesenta años.
El hallazgo, publicado en la revista ‘Molecular Cancer’, muestra que más del 82% de los pacientes con esta patología expresan niveles altos del gen RRAS2 y que las cantidades más altas de presencia del mismo se relacionan con leucemias más agresivas.
«Este hecho, junto con la identificación de un marcador en el gen, un polimorfismo, nos permite plantear que la mayor parte de las leucemias linfocíticas crónicas en humanos están causadas por la sobre-expresión de RRAS2», explica el director del estudio, Balbino Alarcón, del Centro de Biología Molecular Severo Ochoa (CSIC-UAM).
Gracias a este descubrimiento, el gen RRAS2 se perfila como un marcador inequívoco en la detección de la leucemia linfocítica crónica y abre las puertas a la exploración de nuevos tratamientos. «Creemos que la proteína codificada por este gen puede ser un blanco importante para la generación de nuevos fármacos eficaces en el tratamiento de esta enfermedad», asegura Alarcón.
Los cánceres aparecen por la acumulación de daños en los genes de las células del organismo. La búsqueda de genes concretos como responsables de distintos tipos de cáncer, los oncogenes, se desarrolla mediante la identificación de mutaciones. Estas provocan cambios en la secuencia de aminoácidos de las proteínas codificadas por los oncogenes. Sin embargo, en el estudio liderado por el CSIC se ha descubierto que RRAS2 causa leucemia linfocítica crónica sin mutaciones en su secuencia de aminoácidos.
La relevancia de este dato radica en las formas de detección, pues el marcador de la posible presencia de cáncer no se basa en la mutación, sino en la propia cantidad del gen en el organismo. «Hemos observado que la expresión en cantidades por encima de lo normal del gen RRAS2 sin mutaciones en ratones es suficiente para provocar la aparición de leucemia linfocítica crónica en todos los animales», concluye Alarcón.

