Un diagnóstico de cáncer es aterrador. Por ello, algunos médicos dicen que ya es hora de cambiarle de nombre al cáncer de próstata de bajo grado y eliminar esa alarmante palabra que comienza con la letra «c».
En casi todas las próstatas se desarrollan células cancerosas a medida que los hombres envejecen, y la mayoría de los cánceres en esa glándula son inofensivos. Aproximadamente 34.000 estadounidenses fallecen cada año de cáncer de próstata, una enfermedad cuyo tratamiento puede provocar disfunción sexual e incontinencia.
Cambiar el nombre podría llevar a más pacientes de bajo riesgo a evitar cirugías y radiación innecesarias.
“Esta es la forma menos agresiva, más débil de cáncer de próstata que literalmente es incapaz de causar síntomas o esparcirse a otras partes del cuerpo”, dijo el doctor Scott Eggener, de la facultad de medicina de la Universidad de Chicago, que está reactivando un debate sobre cómo explicar la amenaza a sus preocupados pacientes.
La frase “usted tiene cáncer” tiene un profundo efecto en los pacientes, escribió Eggener el lunes en la revista Journal of Clinical Oncology. Él y sus coautores dicen que el miedo a la enfermedad puede provocar que algunos pacientes exageren en su reacción y opten por una cirugía o radiación innecesarias.
Otros coinciden.
“Si reduces la ansiedad, reducirás el tratamiento excesivo”, dijo el doctor David Penson, de la Universidad Vanderbilt. “La palabra ‘cáncer’ les pone una idea en la cabeza: ‘tengo que atenderme esto’”.
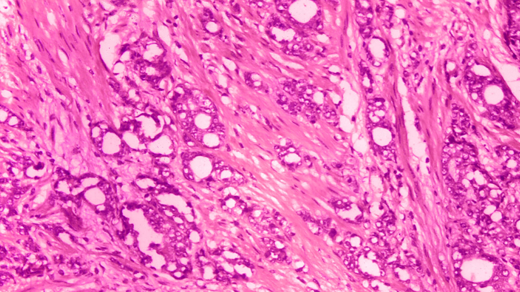
En ocasiones el diagnóstico inicia con una prueba de antígeno prostático específico (PSA por sus iniciales en inglés), la cual detecta la posible existencia de altos niveles de una proteína que puede significar cáncer, pero que también puede elevarse por problemas de próstata menos graves, e incluso por ejercicio vigoroso.
Cuando un paciente arroja un resultado sospechoso en el análisis, su médico podría recomendar hacerle una biopsia, en la que se toma una muestra de tejido de la glándula prostática. Después un patólogo la analiza al microscopio y determina si las células se ven normales o no.
A menudo, los doctores les ofrecen a los pacientes con la puntuación más baja —Gleason 6— una opción para evitar la cirugía y la radiación: La vigilancia activa, que involucra un monitoreo cercano pero sin tratamiento inmediato.
En Estados Unidos, aproximadamente el 60% de los pacientes de bajo riesgo eligen esta opción. Pero a pesar de ello podrían seguir preocupados.
“Me encantaría si alguien le pusiera un nuevo nombre a la enfermedad Gleason 6”, dijo Penson. “Eso les permitiría a muchos hombres dormir mejor por las noches”.
Pero el doctor Joel Nelson, de la facultad de medicina de la Universidad de Pittsburgh, dijo que eliminar la palabra cáncer “desinformaría a los pacientes al decirles que no hay ningún problema. Hoy no hay ningún problema, pero eso no significa que no tengamos que dar seguimiento a lo que hemos descubierto”.
___
El Departamento de Salud y Ciencia de The Associated Press recibe apoyo del Departamento de Educación Científica del Instituto Médico Howard Hughes. La AP es la única responsable de todo el contenido.

