Noticias

Hombre con migrañas descubre que tenía lombrices solitarias en el cerebro

Una persona contrae la cisticercosis al ingerir quistes larvarios de heces infectadas.

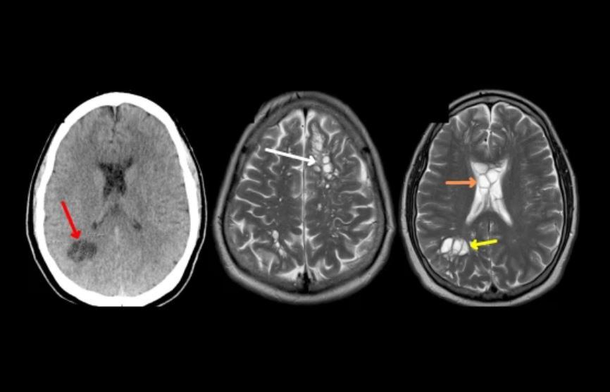
Una tomografía revela numerosos focos quísticos, sacos llenos de líquido en el cerebro del oaciente. | Foto: Eamonn Byrnes et all
Una tomografía revela numerosos focos quísticos, sacos llenos de líquido en el cerebro del oaciente. | Foto: Eamonn Byrnes et all

Un hombre fue hospitalizado por sus migrañas severas, descubrió que el dolor era causado por larvas de lombrices solitarias en su cerebro. Los médicos creen que se infectó al comer tocino poco cocido.

El estadounidense de 52 años, cuyo nombre no ha sido revelado, consultó varios médicos luego de que sus migrañas habituales se hicieran más severas en los últimos cuatro meses.

¿Cómo descubrieron las lombrices?

Las migrañas se hicieron más frecuentes, graves y no disminuían con la medicación habitual, según un estudio publicado el jueves en la revista American Journal of Case Reports.

El paciente ingresó en el hospital para someterse a pruebas. Una tomografía computarizada reveló numerosos focos quísticos, o sea, sacos llenos de líquido en el cerebro. Las pruebas de anticuerpos dieron positivo a quistes de cisticercosis, y el hombre fue diagnosticado con neurocisticercosis.


¿Qué causa las lombrices?

Este padecimiento es descrito como una forma de infección tisular parasitaria causada por quistes larvarios de la lombriz solitaria del cerdo que se encuentran en el cerebro, de acuerdo con los Centros para el Control y la Prevención de Enfermedades.

Una persona contrae la cisticercosis al ingerir quistes larvarios de heces infectadas, lo que suele ocurrir por un lavado de las manos inadecuado o nulo, añadieron los CDC. La enfermedad es endémica en los países en desarrollo, debido a sus deficiencias sanitarias.

¿Dónde las injirió?

El paciente no había viajado recientemente a zonas de alto riesgo, y su “hábito de comer tocino poco cocido y no crujiente la mayor parte de su vida” fue la única conexión con el diagnóstico de neurocisticercosis.

“Sólo podemos especular, pero dada la predilección de nuestro paciente por la carne de cerdo poco cocinada y los antecedentes de exposición benigna, creemos que su cisticercosis pudo ser autoinfectada, tras un lavado de manos inadecuado y sus hábitos alimentarios”, concluyó el informe.

El paciente fue tratado con antiparasitarios y antiinflamatorios, de manera exitosa. Sus lesiones cerebrales desaparecieron y sus dolores de cabeza mejoraron.

Lea también: Corte Suprema de EE.UU. extendió la suspensión de la Ley de Inmigración de Texas

Tags

Lo Último