En México, una enfermedad rara es aquella que afecta a cinco de cada 10 mil personas, de acuerdo con criterios reconocidos por la Ley General de Salud y la Cofepris. Bajo esta clasificación, se estima que alrededor de 8 millones de mexicanos viven actualmente con algún padecimiento poco frecuente.
A nivel internacional, la Organización Mundial de la Salud (OMS) reconoce al menos 5,500 enfermedades raras, cifra que ya fue incorporada al marco normativo mexicano mediante acuerdo publicado en el Diario Oficial de la Federación.
“Si bien las clasificamos como raras, cuando las vemos en conjunto realmente no son tan raras”, explicó el doctor Alejandro Vázquez, MSL de Ultragenyx, en entrevista con con Publimetro, en el marco del Día Mundial de las Enfermedades Raras que es el próximo 28 de febrero.

Hipofosfatemia : una enfermedad hereditaria poco visible
El médico cirujano especialista en genética médica por la Universidad Autónoma de México (UAM), explicó que entre estos padecimientos se encuentra la hipofosfatemia ligada al cromosoma X (XLH), una enfermedad genética que afecta aproximadamente a 1 de cada 20 mil personas.
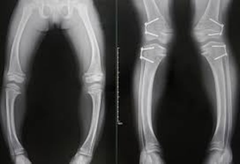
Este trastorno se caracteriza por niveles bajos de fósforo en sangre, lo que impide que el calcio se fije correctamente en el hueso y provoca fragilidad ósea.
“El calcio necesita del fósforo para poder fijarse al hueso. Si no hay fósforo suficiente, el hueso no se mineraliza adecuadamente”, detalló el médico especialista en genética médica.
“En niños, la enfermedad se manifiesta principalmente con piernas arqueadas cuando comienzan a caminar, entre los 12 y 24 meses de edad. En adultos, puede derivar en osteomalacia, dolor, rigidez articular y mayor riesgo de fracturas”, agregó.

Raquitismo en la infancia y osteomalacia en adultos
Vázquez detalló que en etapa pediátrica, la hipofosfatemia puede provocar raquitismo, una alteración visible en radiografías donde el hueso presenta una estructura debilitada.
Cuando el crecimiento óseo concluye en la adultez, el cuadro evoluciona hacia osteomalacia, que se traduce en fragilidad estructural y posibles fracturas.
El especialista subrayó que no todos los arqueamientos en piernas son patológicos, ya que existe un “valgo fisiológico” propio del desarrollo infantil. Sin embargo, insistió en que cualquier alteración debe ser valorada por un profesional de la salud.
El mayor problema: el diagnóstico tardío
De acuerdo con el entrevistado, la principal dificultad que enfrentan los pacientes con enfermedades raras en México no es necesariamente el tratamiento, sino el diagnóstico.
<i>El diagnóstico puede escaparse fácilmente si el médico no identifica que se trata de un defecto patológico y no solicita estudios tan sencillos como un fosfato en sangre o una radiografía</i>
— Alejandro Vázquez
El diagnóstico confirmatorio puede requerir estudios genéticos que identifiquen la alteración en la información hereditaria del paciente.

Enfermedades hereditarias
Alejandro Vázquez resalto que la hipofosfatemia es de origen hereditario. Por ello, recomienda el asesoramiento genético en familias donde exista antecedente del padecimiento.
“Si bien no es posible evitar la transmisión genética cuando existe riesgo, el diagnóstico temprano y el tratamiento oportuno pueden disminuir complicaciones y mejorar la calidad de vida“, resaltó.

Avances en política pública
En 2023, el Consejo de Salubridad General formalizó el reconocimiento de las enfermedades raras incorporadas por la OMS, alineando a México con estándares internacionales.
Además, se ha impulsado la inclusión de medicamentos huérfanos —tratamientos dirigidos a padecimientos poco frecuentes— dentro del sistema de salud.
Sin embargo, el especialista enfatizó que aún se requiere mayor sensibilización entre profesionales médicos y población general para reducir el tiempo de diagnóstico.
El llamado principal es no desistir en la búsqueda de un diagnóstico certero.
“No claudiquen. Llegar al diagnóstico correcto cambia el pronóstico del paciente”, concluyó el médico Alejandro Vázquez, MSL de Ultragenyx, en entrevista con este medio
